




Dr. Marcos Guerra: Excelência em Ortodontia
Com mais de 15 anos de atuação, o Dr. Marcos Guerra une a precisão da tecnologia avançada ao acolhimento de um atendimento humanizado. Sua filosofia de trabalho foca na reabilitação oral estética, devolvendo não apenas sorrisos, mas a autoestima e a qualidade de vida de seus pacientes.
- Graduado pela Universidade Federal de Pelotas (UFPel)
- Especialista em Ortodontia pela Unicastelo
- Residência em Ortodontia (Técnicas Alexander, Damon e Lingual) na SOBRESP
Nossos Tratamentos
Conheça algumas de nossas especialidades, projetadas para oferecer o melhor cuidado para o seu sorriso.
Alinhe seu sorriso com aparelhos autoligados modernos, que oferecem um tratamento mais rápido, confortável e discreto.
A prevenção é o melhor cuidado. Mantenha seu sorriso saudável com nossa limpeza dental profissional, removendo placa e tártaro.
Obtenha um sorriso mais branco e radiante com nossas técnicas de clareamento dental, seguras e com resultados surpreendentes.
Proteja seus dentes contra o desgaste do bruxismo. Confeccionamos placas personalizadas para seu conforto e segurança noturna.
Recupere a estética e função dos dentes com restaurações e facetas de resina, que mimetizam a aparência natural do seu sorriso.
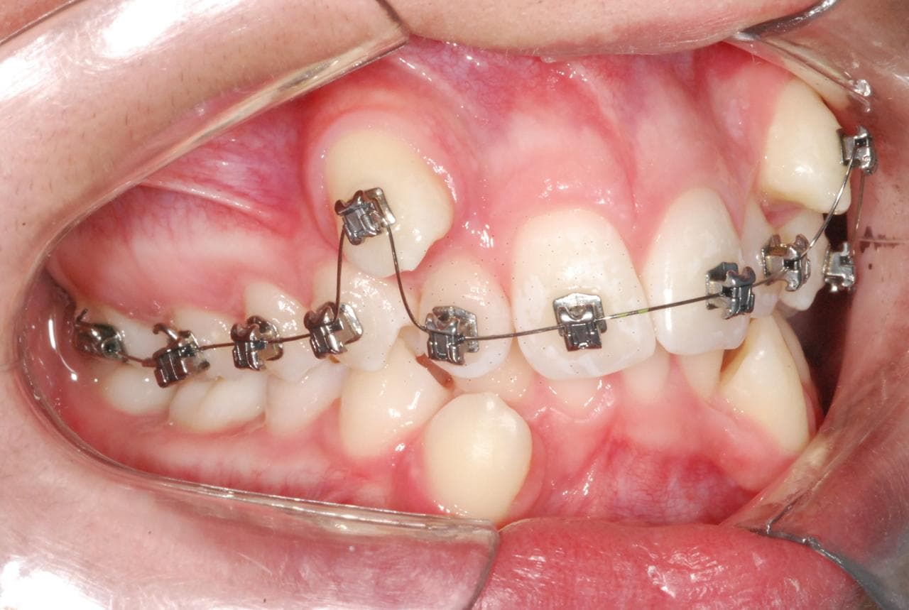
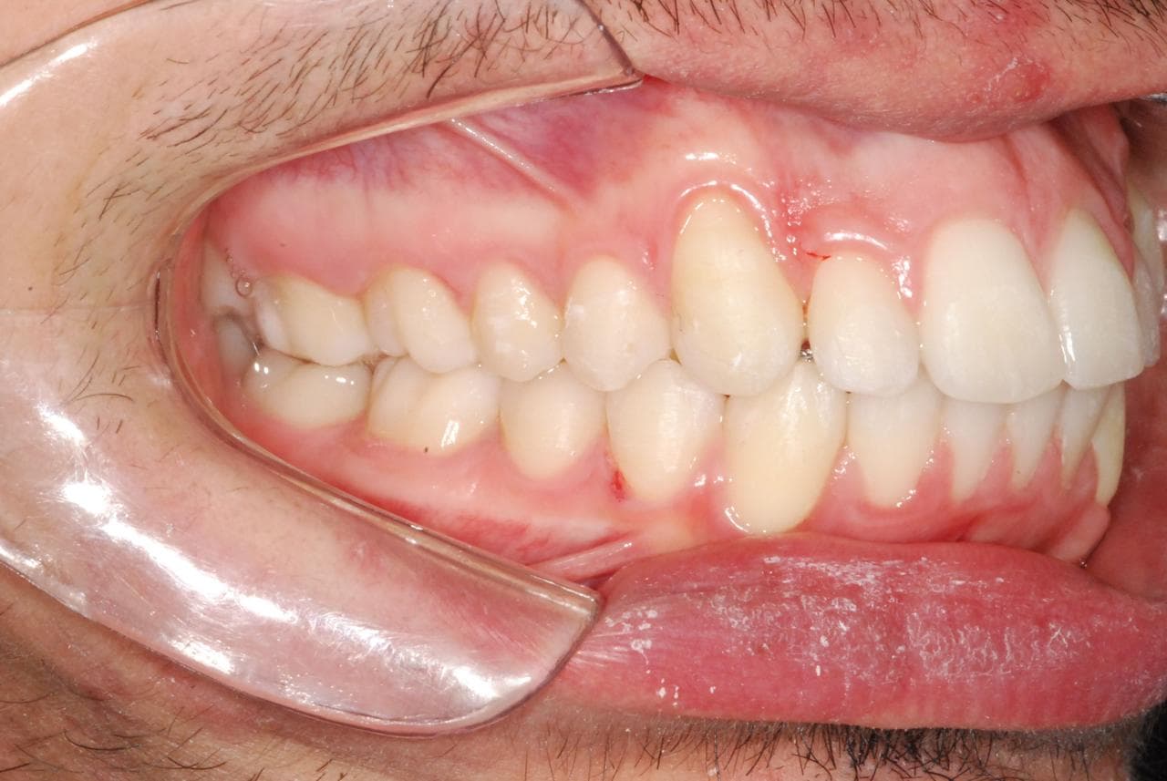
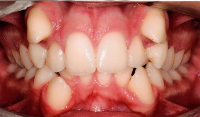
Sua Transformação Começa Aqui.
Veja o poder da excelência em odontologia através dos resultados dos nossos pacientes.


.jpg&w=3840&q=75)



Onde estamos e quando atender você
Localização fácil, horários flexíveis e atendimento pensado para sua comodidade.
Nossa Clínica
Horários
Contato
